
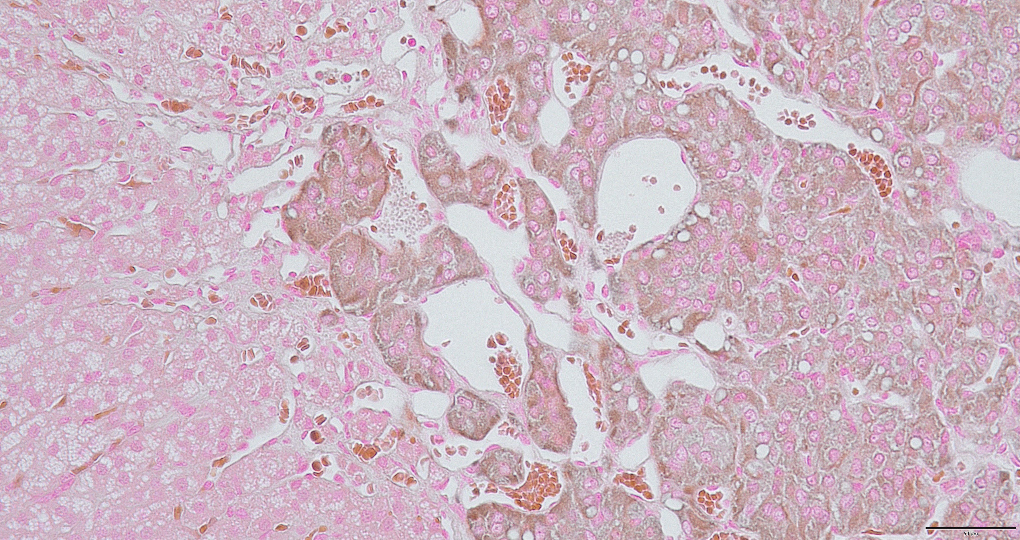
グリメリウス染色とは?
グリメリウス染色は、神経内分泌細胞の検出に特化した銀染色法の一種です。
膵臓や消化管などに存在する「銀親和性細胞(Argyrophilic cells)」 を選択的に染色することで、病理診断における重要な情報を提供します。
グリメリウス染色の主な用途
- 膵島細胞腫瘍(インスリノーマなど)の診断補助
- カルチノイド腫瘍やその他の神経内分泌腫瘍の検出
- 消化管・呼吸器系における内分泌細胞の分布評価
グリメリウス染色の特徴
- 神経内分泌細胞が持つ還元性物質により、銀イオンが還元されて黒褐色に染まります。
- 明瞭なコントラストが得られ、組織内での細胞の位置や形態が把握しやすくなります。
- 他の染色法と併用することで、より精度の高い診断が可能です。


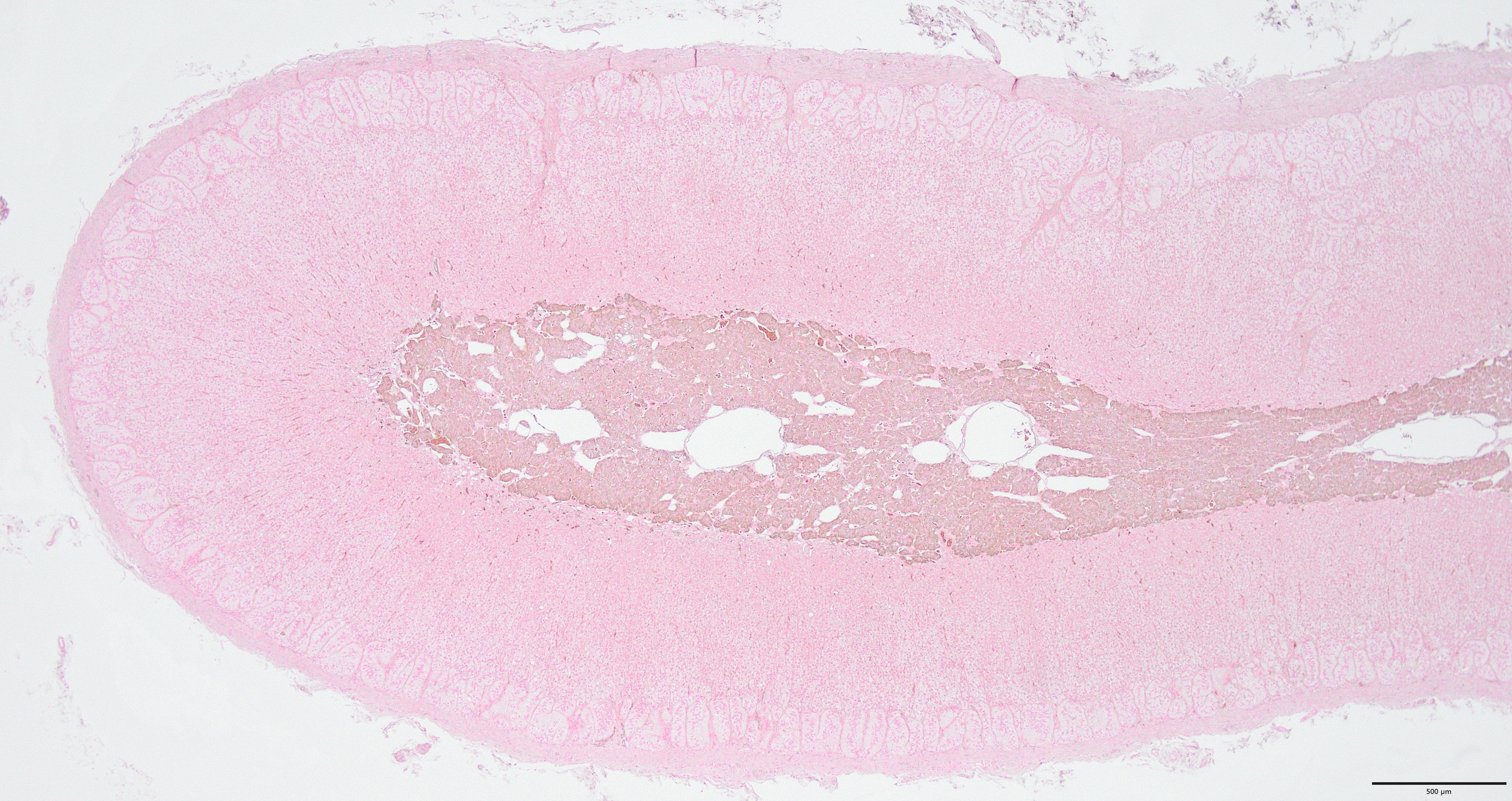
イヌ,副腎,×40 イヌ,副腎,×400
DSTCはグリメリウス染色コントロールサーベイ「A」を取得しました
DSTCは実験病理組織技術研究会のグリメリウス染色コントロールサーベイにおいて評価:Aを取得いたしました.